医院新闻
【垂医救治】神经外科耳鼻喉科联合成功救治一例外伤性颈内动脉假性动脉瘤致鼻腔大出血患者
近日,北京市垂杨柳医院神经外科与耳鼻喉科联合救治了一例外伤性颈内动脉假性动脉瘤致鼻腔大量出血的患者,效果良好。
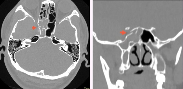
患者男性,23岁,此前骑电动车发生交通事故,右侧头面部受力,当时神志清楚,右侧眉弓开放性损伤,口腔少量出血。急就诊于当地医院行头颅CT检查提示右侧额骨、颞骨骨折,多发颅底骨折,未予特殊处理。伤后第2天转入北京某三甲医院,复查头颅CT见右颞部硬膜外血肿,右侧眼眶外侧壁、下壁骨折,右侧蝶骨大翼、小翼、蝶骨平台、蝶窦侧壁骨折,右侧上颌窦后外壁骨折,右侧视神经管内下壁骨折,双侧蝶窦及右侧上颌窦、筛窦积血,行眉弓皮肤裂伤清创缝合术,于急诊留观保守治疗。

▲头颅CT及鼻骨CT显示右侧蝶窦外侧壁骨折,蝶窦积血
为进一步诊治,伤后第4天就诊于北京市垂杨柳医院神经外科门诊并收入院。入院查体:生命体征平稳,神清语利,对答准确,右侧颜面部青紫肿胀,右侧眉弓皮肤裂伤已缝合,右侧球结膜充血,粗测视力视野正常,双侧瞳孔直径3mm,对光反射灵敏,双侧眼球活动自如,口鼻外耳道无出血流液。四肢活动正常。入院后予脱水降颅压、止痛、营养神经等保守治疗,患者头痛逐渐缓解。
住院第6天清晨,患者突然出现右侧鼻腔大量出血,当时正值神经外科、耳鼻喉科共同早交班之际,耳鼻喉科王利伟医生闻讯后立即赶到患者床旁,用普通棉球填塞鼻腔,按压鼻翼仍无法止血。神经外科医生位留东,护士长吴海涛,护士王书亚迅速用平车将患者转运至耳鼻喉科门诊,途中密切监测血压并快速补液,并嘱患者头偏向一侧以免引起窒息。耳鼻喉科门诊护士张玉卓、唐雪立即准备相关止血用物,耳鼻喉科主任杨立军在鼻内镜下快速探查鼻腔,未发现明显出血点,于鼻腔内填塞油纱条后鼻出血停止,估计出血量约600ml。患者出现发冷,脸色苍白,血压下降,脉搏增快等休克早期表现,予开放静脉双通路,快速补液,当天下午患者生命体征趋于平稳。

神经外科与耳鼻喉科联合讨论认为,颅底骨折致鼻出血较常见,但多为伤后早期少量出血,常可自行愈合止血。伤后第9天出现鼻腔大量出血很罕见,出血来源应该为大动脉,极有可能是患者蝶窦侧壁骨折刺破颈内动脉海绵窦段,导致颈内动脉假性动脉瘤形成破裂出血。当日下午为患者紧急加做了头颈动脉CTA检查,头颈动脉重建未见明显异常,但右侧蝶窦内有造影剂充盈,仍不能排除颈内动脉假性动脉瘤。神经外科讨论认为行脑血管造影检查非常必要,以免遗漏颈内动脉假性动脉瘤而再发致死性鼻出血。

▲脑血管造影显示右侧颈内动脉海绵窦段假性动脉瘤
次日,神经外科脑血管病介入团队行DSA检查发现:1.右侧颈内动脉海绵窦段前膝处两个小假性动脉瘤,对应管腔狭窄;2.颈内动脉海绵窦瘘,流量小;3.右侧脑膜中动脉前支供血的脑膜动静脉瘘。鼻出血的“元凶”找到了,就是颈内动脉海绵窦段假性动脉瘤。脑血管病介入团队于全麻下为患者实施了颈动脉覆膜支架置入术,术中采用了“特洛伊木马”技术,利用中间导管将Willis覆膜支架(4.0*10)输送至病变处,精准定位,球囊充盈后,支架贴壁良好,术后即刻造影,假性动脉瘤消失。

▲术后即刻造影见假性动脉瘤消失


▲覆膜支架治疗假性动脉瘤示意图
麻醉复苏后患者无新发神经功能障碍,术后第3天由耳鼻喉科医生取出填塞的油纱条,鼻腔未再出血,目前假性动脉瘤经微创介入手术治疗已获完全治愈,患者痊愈出院。脑膜动静脉瘘及颈内动脉海绵窦瘘需随访观察以决定是否需手术干预。

患者家属对医院神经外科和耳鼻喉科的救治过程表示非常感谢。此病例的成功救治,充分体现了医院在创伤急救多学科合作、快速联动反应及诊治复杂颅脑损伤的能力。医院神经外科、耳鼻喉科全体医护人员也将持续深化多学科协作,为百姓健康保驾护航。
神经外科 / 科普小课堂
01、鼻出血
鼻出血也叫鼻衄,大多数人的一生中都会经历。鼻出血的常见原因包括钝性面部创伤,挖鼻,气候干燥,以及吸烟等因素。不太常见的原因包括凝血障碍,颅内肿瘤、肝脏疾病或血管损伤,如颅内假性动脉瘤。头部外伤在颅内动脉瘤形成原因中所占比例不到1%,与交通事故或运动相关,可在头部直接钝性伤或穿透性损伤后形成。大约30%的外伤性颅内动脉瘤患者年龄小于18岁,男女发病率比为1:1,但在成人中,男性患者占主导地位,比例约为4:1。
02、假性动脉瘤
假性动脉瘤是由于外伤引起的血管壁全层损伤,刺破动脉血管壁,形成血肿,而动脉内的血流不断冲击,在血肿内形成空腔,这就是“假性动脉瘤”。与真性动脉瘤最大的区别在于没有完整的血管壁,也不具备真正的瘤颈,其瘤壁通常由机化的结缔组织膜构成,其抗张力低,因此非常容易发生破裂出血。如果裂口小,血栓及时形成,裂口可重新封闭,出血暂时停止。裂口较大或反复破裂,形成崩溃性大裂口,则可发生致命性大出血。颈内动脉海绵窦段假性动脉瘤,常常源于蝶骨骨折,颈内动脉海绵窦段后、外侧损伤,血液冲破动脉壁进入海绵窦,形成海绵窦瘘;前壁、下壁损伤,则形成假性动脉瘤,常破入蝶窦、筛窦,表现为鼻出血。
03、外伤性颈内动脉假性动脉瘤
外伤性颈内动脉假性动脉瘤,有多种治疗方法,包括血管内介入治疗以及显微手术。对于本病例由于解剖位置高,不适合外科手术。介入手术主要包括闭塞载瘤动脉、弹簧圈栓塞术、支架辅助弹簧圈栓塞术、覆膜支架、密网支架等。闭塞载瘤动脉通常适用于颈外动脉。假性动脉瘤由于没有完整的血管壁结构,单纯弹簧圈栓塞极易穿破动脉瘤而产生移位,造成术中严重出血,或动脉瘤复发导致再破裂出血。密网支架能起到一定的血流导向作用,但不能立即隔绝动脉瘤,且术后需口服双抗,存在再出血风险。作为一种腔内隔绝物,Willis覆膜支架是支架外覆盖一层膜,可隔绝血流对动脉瘤壁的冲击,术中可即刻阻断假性动脉瘤内的血液循环,做到对假性动脉瘤的即刻治愈,是理论上最为理想的治疗材料。
04、外伤性颈内动脉假性动脉瘤致鼻出血
外伤性颈内动脉假性动脉瘤致鼻出血是个缓慢进展的过程,常见于颅底骨折20天左右,患者从最初的几毫升到疾病后期的几百毫升甚至致死性出血,呈现出血量越来越多,出血间隔时间越来越短的趋势。需要引起临床医生高度重视。外伤后反复大量鼻腔出血患者如行正规前后鼻孔填塞止血效果差,应尽早行DSA检查,明确有无假性动脉瘤存在,诊断明确后行血管内介入治疗。

注:以上出诊时间以当日为准。
本文仅限于公益科普及学术交流,文中部分资料及图片来源于网络,侵删。








京公网安备11010502033717号