医院新闻
【杨柳探营】开通生命主干道,创造“心”奇迹
近日,北京市垂杨柳医院心脏中心成功救治一名急性左主干闭塞合并心原性休克的危重患者。从患者入院启动胸痛绿色通道,到主动脉球囊反搏(IABP)辅助下开通闭塞血管,全程争分夺秒,术后经CCU精细化监护治疗,最终帮助患者转危为安。
10月19日下午,刘先生因突发胸痛半小时,由120急救车送至我院急诊。心电图提示aVR导联ST段抬高0.1mV,下壁、前壁导联广泛ST段压低。当日值班心内科二线陈安琪主治医师紧急会诊,结合刘先生症状及心电图情况迅速开启胸痛绿色通道。仅20分钟,导管室冠脉介入团队已准备就绪。患者进入导管室后在大剂量血管活性药使用情况下血压仅60/40mmHg,意识淡漠,四肢厥冷。刘梦宁、刘莎护士快速响应,精准完成生命体征监测、氧疗支持、静脉血管活性药物调整,同时通过镇静、镇痛处理缓解患者焦躁情绪,为后续治疗争取时间。
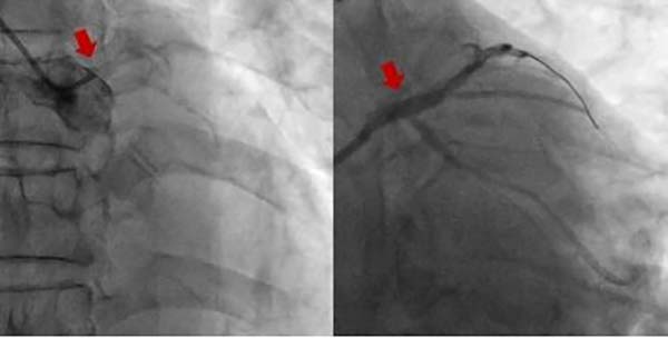
冠脉造影结果显示,患者左主干自开口完全闭塞,右冠脉重度狭窄,病情十分凶险。一方面患者生命体征不稳定,梗死面积大,心原性休克征象明显;另一方面,患者病变复杂,手术风险高、难度大。抢救的关键在于尽快开通闭塞血管,在包恩泽主任医师带领下,梁超、刘文博医师及王克技师快速完成IABP组装,顺利经股动脉置入IABP装置。随着IABP开始工作,患者血压终于能维持在100/60mmHg左右,为后续手术创造了稳定条件。
该患者左主干自开口闭塞,且合并严重钙化,导致指引导管到位、导丝通过病变、介入器械的输送均面临巨大挑战。包恩泽主任医师凭借丰富的经验与规范的操作流程,与团队默契配合、沉着应对,逐一攻克技术难题。最终,从患者入院到成功开通闭塞血管仅用时74 分钟,并顺利完成冠脉支架置入手术。
急诊血运重建的成功只是第一步。患者术后转入CCU(重症监护室)接受进一步治疗。心脏重症团队在皮林主任、徐世莹主任医师指导下,为患者制定个体化治疗方案。实时监测动脉压,颈内静脉置管严密监测中心静脉压,精细化调整血管活性药物使用及补液、利尿策略;个体化抗栓治疗方案,平衡血栓与出血风险;动态监测心、肝、肾、凝血等多脏器功能。历经5天“攻坚战”,患者各项指标逐渐稳定,顺利拔除IABP、中心静脉置管,由CCU转至心内科普通病房。经后续康复治疗,患者于术后第10 日达到出院标准,顺利康复出院。

左主干急性闭塞是一种极为凶险的心血管重症。左主干负责心脏约70%的供血,一旦闭塞,心肌会大面积坏死,可迅速导致心力衰竭、心原性休克、恶性心律失常甚至心原性猝死。当左主干闭塞合并心源性休克时,死亡率接近90%。此次病例的成功救治,是医院急诊绿色通道效率、多学科协作能力及危重病症诊疗水平的综合体现。北京市垂杨柳医院心脏中心目前已具备处理各种复杂、危重急性冠脉病变的能力,拥有IABP、ECMO辅助下冠脉介入治疗的经验。今年以来,心脏中心已成功抢救近300例急性心肌梗死患者。相关质控指标在北京市位居前列。未来,心脏中心将不断提高医疗水平,提高服务质量,守护广大人民群众心脏健康。









京公网安备11010502033717号