医院新闻
【杨柳探营】发热咳嗽久治不愈,医生细查“虫”现端倪
近日,清华大学附属垂杨柳医院感染性疾病科成功诊断并治愈一例“恙虫病”患者。
患者3周前赴广东旅游,返京1周后出现不明原因咳嗽、发热等症状,初期按“感冒”自行服药未见好转,后续前往外院就诊并进行抗感染治疗,但效果不显著。
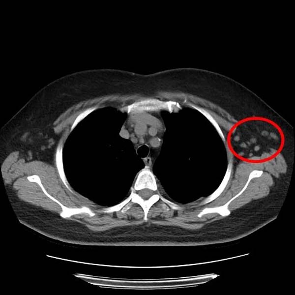
来到清华大学附属垂杨柳医院感染性疾病科后,副主任医师王同德接诊了该患者,并完善了相关检查,初步结果提示其血尿化验基本正常,流感及新冠抗原检测为阴性,胸部CT未见肺炎表现,但影像提示左侧腋窝淋巴结肿大。

▲红圈处可见肿大淋巴结

▲患者左前臂典型焦痂
王同德详细询问病史及细致查体,发现患者左前臂存在一类圆形焦痂,结合其自述曾在广东草坪休息并疑似被虫叮咬的经过,最终诊断为恙虫病。给予多西环素口服治疗后,患者症状在短期内明显好转,发热消退,咳嗽等症状消失。为表达感谢,患者随后向科室赠送了锦旗。

▲患者为表感谢,相赠锦旗
此病例体现了感染性疾病科在发热待查及旅行相关传染病诊治方面的专业能力。通过系统问诊、全面查体与多检查手段结合,科室能够及时识别临床表现不典型的感染性疾病,实施精准治疗。
感染性疾病科提示,在夏秋季节或前往恙虫病流行地区活动后,如出现持续发热、皮疹、焦痂或淋巴结肿大等症状,应及时就医并主动告知旅居史,便于医生准确判断与治疗。
科普小课堂:恙虫病
恙虫病是由恙虫病立克次体引起的急性传染病,主要通过恙螨幼虫叮咬传播。鼠类是主要传染源,恙螨幼虫在叮咬时注入病原体,常在被叮咬处形成特征性“焦痂”。本病潜伏期一般为10-14天,临床常表现为急性起病、高热、头痛、皮疹、淋巴结肿大等,严重者可累及多器官。及时前往正规医疗机构,并及时使用四环素类药物治疗效果良好。该病一般不发生人与人之间传播,公众无需过度恐慌。出游野外时应做好防护,避免在草丛长时间坐卧,穿着长袖衣裤,使用驱虫剂,回家后及时沐浴更衣。
参考文献:
1.李兰娟.传染病学(第10版).北京:人民卫生出版社,2024.
2.李兰娟.中华感染病学.北京:人民卫生出版社,2021.
3.王宇明,李梦东.实用传染病(第4版).北京:人民卫生出版社,2016.
4.李明远,徐志凯.医学微生物学(第4版).北京:人民卫生出版社,2015.
【本文仅限于公益科普及学术交流,如有不适请及时就医。本文诊疗方案仅适用于本病例。文中部分资料来源网络,侵删。】








京公网安备11010502033717号