医院新闻
【杨柳探营】逢“胸”化吉:一场因“血胸”带来的急诊抢救
近日,清华大学附属垂杨柳医院胸外科成功抢救了一名大量血气胸的患者。经急诊手术治疗后,患者康复出院。
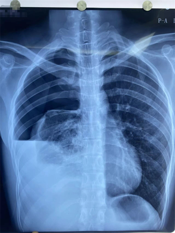
21岁的小王正值大四,一天前日常活动后突然觉得右侧胸闷、呼吸困难,伴右侧胸痛,休息后自觉缓解。第二天患者自觉胸痛及胸闷症状明显加重,校医院胸部X线片提示右侧液气胸,右肺压缩大于80%(如图1),属于典型自发性血气胸。患者经由120紧急送至清华大学附属垂杨柳医院急诊。此时,患者大汗,贫血貌,胸痛无法平卧,胸外科主治医师赵云会诊并请示胸外科主任崔健,明确诊断为右侧血气胸。需尽快手术治疗。

经与患者本人和家属沟通同意后,胸外科团队立即进行手术准备。迅速通知麻醉科、第一手术区紧急做术前准备。崔健会同胸外科副主任医师胡晓丹、赵云,与麻醉科、第一手术区团队共同展开抢救工作。术中,在电视胸腔镜下显示右侧胸腔大量血块,出血点为胸膜顶粘连带(图2),统计出血量达3000ml,术中血液回收机血液置换,一边输血一边进行胸腔镜下止血,右肺肺大疱切除+胸膜固定术。术后患者恢复顺利,术后第2日拔出胸腔引流管,术后第3日顺利出院。

科普小课堂
一、什么是血气胸[1]
气胸(pneumothorax)是指气体进入胸膜腔造成积气状态。多因肺部疾病或外力影响使肺组织和脏层胸膜破裂,或靠近肺表面的微气泡破裂,肺和支气管内空气逸入胸膜腔。血胸(hemothorax)是指胸部损伤导致的胸膜腔积血。而血气胸(hemopneumothorax)是指胸膜腔内同时出现积血和积气。可由胸部创伤引起,也可由患者的自身疾病所引发,该病多因胸腔内粘连索带撕裂导致,患病年龄以青少年多见,且男性多见于女性。
二、临床表现[1]
血胸的临床表现与出血量、速度和个人体质有关。
1、血胸量≤0.5L为少量血胸;
2、血胸量0.5~1.0L为中量;
3、血胸量>1.0L为大量血胸。
患者会出现不同程度的面色苍白、脉搏细速、血压下降和末梢血管充盈不良等低血容量休克表现;并有呼吸急促、肋间隙饱满、气管向健侧移位、伤侧叩诊浊音和呼吸音减低等胸腔积液的临床和胸部X线表现。具备以下征象则提示存在进行性血胸:①持续脉搏加快、血压降低,或虽经补充血容量血压仍不稳定;②胸腔闭式引流量每小时超过200ml,持续3小时;③血红蛋白量、红细胞计数和血细胞比容进行性降低,引流液的血红蛋白量和红细胞计数与周围血相接近,且迅速凝固。
二、血胸的治疗[1,2]
1.非进行性血胸可根据积血量多少,采用胸腔穿刺或闭式胸腔引流术治疗,及时排出积血,促使肺膨胀,改善呼吸功能,并使用抗生素预防感染。
2.进行性血胸应及时进行胸腔镜探查手术。近年电视胸腔镜手术具有创伤小、疗效好、住院时间短等优点。
References:
[1]. 陈孝平等, 外科学(第8版).人民卫生出版社.
[2]. 王伟等, 青年自发性进行性血气胸的治疗策略探索. 中华生物医学工程杂志, 2021. 27(03): 294-297.
本文仅限于公益科普及学术交流,如有不适请及时就医。文中治疗方案仅限本病例,部分资料来源网络及文献,侵删。








京公网安备11010502033717号