科普文章
【杨柳探营】祛除六年胸痛顽疾

近日,清华大学附属垂杨柳医院胸外科通过手术治疗,为一例长期受胸痛困扰的患者彻底解除病痛。患者术后恢复良好,症状消失,顺利出院。
患者王先生(化名)六年前开始出现反复左侧胸痛,其间曾辗转多家医院就诊,尝试多种治疗方式并进行多项检查,但疼痛症状始终未能缓解,严重影响日常生活。近期,患者前来清华大学附属垂杨柳医院胸外科,找到科主任崔健寻求帮助。
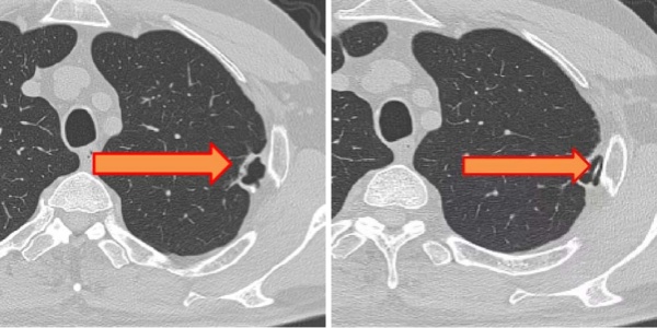
接诊后,崔健带领胸外科医疗团队为其进行了系统检查与全面评估。影像学检查发现患者左肺上叶存在异常阴影(术前影像图1、2)。团队结合临床经验初步判断并非普通肺部病变。经过与患者及家属充分沟通并完善术前准备,团队决定为王先生实施手术探查与治疗。

图1箭头处为肺部阴影;图2箭头处为肺部阴影内异常密度影

图3箭头处为术中异物
术中探查发现,患者左肺上叶确实存在异物,该异物是导致其长期胸痛的主要原因。手术团队谨慎操作,完整取出异物并对局部组织进行修复。术后病理证实为异物所致慢性炎性改变。

图4箭头处为术中所取异物
术后,王先生恢复顺利,胸痛症状彻底消失。经过一段时间的康复治疗,王先生终于康复出院。出院时,王先生对崔健和胸外科医疗团队表示感谢。
此次手术的成功,体现了医院胸外科在疑难胸痛病因诊断与手术治疗方面的专业能力。通过细致评估、精准手术与多学科协作,团队为长期受胸痛困扰的患者明确了病因并实施有效治疗。胸外科表示,将持续优化慢性胸痛等疑难病症的诊疗流程,加强病因探查与个体化治疗,提升胸部疾病综合诊治水平,努力为更多患者提供精准、高效的医疗服务。








京公网安备11010502033717号