医院新闻
【杨柳探营】精准诊断破迷局,规范治疗挽沉疴 | 胸外科精准诊治一例高龄小细胞肺癌患者
近日,清华大学附属垂杨柳医院胸外科成功诊治一名80岁高龄小细胞肺癌患者,通过精准诊断与规范化综合治疗,显著改善患者症状,取得良好近期疗效。
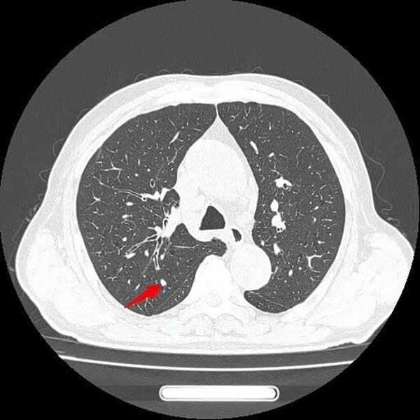
患者王大爷一年前体检发现右肺上叶有一约6×4mm结节,当时未予重视。一年后,他突然出现活动后喘憋症状,复查胸部CT显示右肺上叶后段出现约50×50mm不规则实性团块,影像学高度怀疑肺恶性肿瘤。


入院后,胸外科团队为患者行超声引导下经支气管针吸活检(EBUS-TBNA),病理结果提示为小细胞癌,并发现纵隔淋巴结转移。进一步全身检查显示,患者已出现肋骨及肝内多发转移,诊断为右肺上叶小细胞肺癌(cT3N2M1c IVB期)。
小细胞肺癌是一种生长快、侵袭性强、易早期转移的神经内分泌肿瘤,约八成患者确诊时已处于广泛期。针对王大爷的病情,胸外科团队制定了化疗联合免疫治疗的个体化方案,采用依托泊苷联合顺铂,并加用替雷利珠单抗免疫治疗。
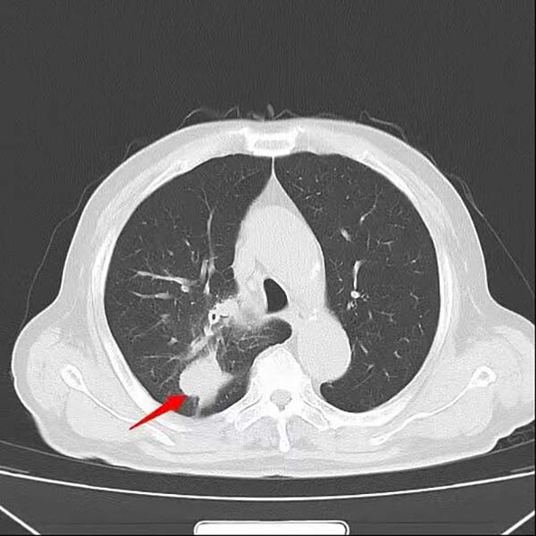
经过一个周期的治疗后,患者喘憋、咳嗽等呼吸道症状明显缓解,复查影像显示右肺上叶肿物显著缩小,疗效评估良好。这一结果让患者及家属重拾治疗信心,也为下一阶段治疗奠定了基础。

清华大学附属垂杨柳医院胸外科在肺部肿瘤诊疗方面具备一体化核心优势,可安全规范开展超声支气管镜等精准活检技术,在明确肿瘤分型分期的同时保障操作安全。科室依托多学科协作与精准影像评估,实现肺部肿瘤的“早筛、早诊、早治”闭环管理,既能为早期患者提供胸腔镜微创根治手术,也能为中晚期患者制定个体化综合治疗方案,在手术根治性、器官功能保护及术后快速康复等方面形成特色优势。
近年来,免疫检查点抑制剂联合化疗已成为广泛期小细胞肺癌的标准治疗方案,多项临床研究证实该策略可显著延长患者生存期。此次王大爷的成功诊治,体现了清华大学附属垂杨柳医院胸外科紧跟学科前沿、践行规范化诊疗的临床实践能力,也为高龄复杂肺癌患者提供了有效的治疗选择。
科普小课堂:认识小细胞肺癌
肺癌是全球发病率和死亡率较高的恶性肿瘤之一[1]。小细胞肺癌(small cell lung cancer,SCLC)属于神经内分泌肿瘤,占所有新发肺癌患者的13%~15%,具有生长快、侵袭性高、转移早、预后差等特点,约80%~85%的患者首次确诊时处于广泛期阶段[1]。
小细胞肺癌的治疗[2]:
1.可手术局限期SCLC患者(T1~2N0)的治疗:PET-CT提示无淋巴结转移的T1~2N0的患者行肺叶切除术+肺门、纵隔淋巴结清扫术,术后病理提示N0的患者推荐辅助化疗,方案包括依托泊苷+顺铂/卡铂;术后病理提示N1和N2的患者,推荐行辅助化疗合并胸部放疗。
2.不可手术局限期SCLC患者(超过T1~2N0或不能手术的T1~2N0)的治疗:化疗同步胸部放疗为标准治疗,化疗方案:依托泊苷+顺铂/卡铂。
3.无症状或无脑转移的广泛期SCLC患者的治疗:依托泊苷+顺铂/卡铂+免疫药物。
4.局部症状的广泛期SCLC患者的治疗:化疗联合放疗。
5.脑转移患者的治疗:①无症状脑转移患者:全身化疗结束后接受全脑放疗。②有症状脑转移患者:推荐全脑放疗与化疗序贯进行。
近年来,免疫检查点抑制剂在广泛期SCLC的治疗中获得成功,多项Ⅲ期研究证实,免疫联合化疗策略能为SCLC患者带来显著的总生存获益[1]。
胸外科医生建议:如您患有肺结节,需遵医嘱定期接受检查,如发现病情变化,请及时前往正规医疗机构进行治疗。
References
[1] 中国临床肿瘤学会小细胞肺癌专家委员会, 中国医师协会肿瘤多学科诊疗专业委员会. 小细胞肺癌免疫治疗专家共识(2025版). 中华肿瘤杂志. 2025. 47(1): 65-75.
[2] 中华医学会肿瘤学分会. 中华医学会肺癌临床诊疗指南(2025版). 中华肿瘤杂志. 2025. 47(9): 769-810.
- 标签:
- 胸外科








京公网安备11010502033717号