医院新闻
【杨柳MDT】当肿瘤遇到冠心病:多学科协作助力患者重获曙光
随着我国老龄化进程加速,肿瘤与冠心病的发病率逐年上升。一方面,肿瘤与冠心病有许多相同的危险因素(如高龄、肥胖、吸烟、不良饮食习惯等),另一方面,肿瘤治疗手段的进步在改善患者生存期的同时,合并冠心病的患者越来越多,而缺血性心脏病成为了危及肿瘤患者外科手术围手术期安全的高危因素。为了保证肿瘤患者围手术期安全,且不因血运重建而延误外科手术治疗。对于此类患者,临床上可通过多学科协作(MDT)模式,在审慎评估出血与缺血风险后,制定个体化的血运重建与肿瘤切除序贯治疗方案。
案例1
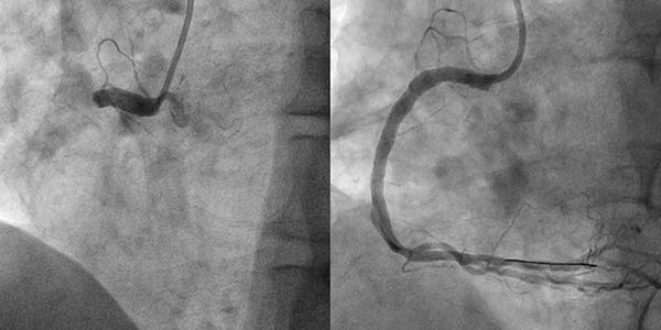
张先生2025年4月28日因劳累时胸闷就诊于清华大学附属垂杨柳医院心内科,入院后拟择期完善冠脉造影检查评估冠脉。然而术前检查中血常规项目中的轻度贫血及便潜血阳性引起了管床医生的警惕。消化内科会诊认为患者贫血原因需考虑消化道出血导致可能,因患者存在抗血小板类药物使用相对禁忌,遂决定暂停抗血小板类药物使用,为消化内科内镜检查做准备,同时放弃冠脉造影检查并改为完善冠脉CTA检查初步评估冠脉。然而检查结果却不容乐观,冠脉CTA提示张先生冠状动脉多发中-重度狭窄。消化内科与心内科共同评估病情后决定先行胃镜检查,病理结果显示低分化腺癌。需要限期手术,但是合并冠状动脉严重狭窄外科围术期发生急性心血管事件风险极高。而冠心病治疗需使用抗血小板类药物,冠脉介入治疗术中需使用抗凝药,患者消化道出血风险也很高。心内科团队及普外科团队经共同讨论后制定了治疗方案:先由心内科处理冠脉病变,之后由普外科尽早完成切除胃部肿瘤。冠脉造影结果显示:右冠脉严重狭窄。考虑到患者需要尽快接受外科手术,心内科冠脉介入团队讨论后决定应用新型药物涂层支架干预右冠脉(可减少术后双联抗血小板时间至最少1个月)。经1个月双联抗血小板治疗后,经麻醉科、心内科、普外科再次评估后,于2025年6月24日由普外科完成腹腔镜下肿瘤切除术。
案例2
2025年6月23日凌晨,兰先生因突发胸痛由120急救车送至清华大学附属垂杨柳医院急诊,心电图提示下壁导联ST段抬高,拟诊断为急性下壁ST段抬高型心肌梗死。然而兰先生2年前被诊断为食管恶性肿瘤,手术后经历多轮次放化疗,发病2天前刚刚结束最后1次化疗。消化道肿瘤及放化疗增加了消化道出血风险。然而时间就是心肌,面对缺血和出血同样高危的患者,心内科胸痛绿色通道团队讨论后决定优先考虑开通梗死相关血管,自患者进入清华大学附属垂杨柳医院大门仅用时68分钟即开通患者右冠脉闭塞病变,因患者急诊术中冠脉血栓负荷重,行血栓抽吸及球囊扩张后,经强化抗栓治疗1周,择期于右冠脉病变处置入新型药物涂层支架。术后一个月,将双抗改为单抗,降低了消化道出血风险。
案例3
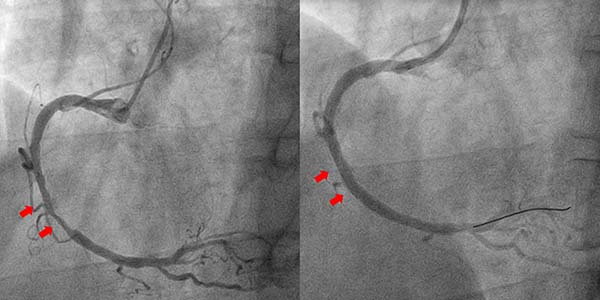
尹先生于2025年9月7日因结肠癌就诊于清华大学附属垂杨柳医院普外科,拟行结肠癌根治术。之前5年前曾因心绞痛于清华大学附属垂杨柳医院心内科行冠脉支架置入术。术前评估完善了冠脉CTA检查,结果提示:冠脉多发重度狭窄。遂由普外科转入心内科行冠脉造影提示患者回旋支、右冠脉重度狭窄,同期分别置入新型药物涂层支架,从心内科出院后1个月在普外科病房完成结肠癌手术。
肿瘤患者合并缺血性心脏病时出现的症状易与肿瘤相关症候群以及放化疗的不良反应相混淆,在早期识别和诊断方面存在困难;而冠心病血运重建后抗血小板药物的使用会增加外科手术出血的风险,传统的治疗方案可能会延误肿瘤病人的最佳手术时机。建立规范的多学科协作诊疗模式,整合心内科、肿瘤外科、麻醉科、消化内科等多科室资源,对于全面评估风险、制定个体化治疗方案、保障患者围术期安全至关重要。
本文仅限于公益科普及学术交流,如有不适请及时就医。文中部分资料来源网络,侵删。








京公网安备11010502033717号