医院新闻
【杨柳服务】米寿老人颅内动脉瘤破裂,垂医神外紧急拆弹成功
近日,清华大学附属垂杨柳医院神经外科脑血管病介入团队成功为一名88岁高龄患者实施颅内动脉瘤栓塞手术,拆除“颅内炸弹”,帮助患者转危为安并顺利出院。
今年已是“米寿之年”的患者李女士有30余年高血压和8年冠心病史,平素生活可自理。入院前3天突发剧烈头痛,伴恶心,未及时就医诊治。9月1日清晨,她突发头痛并加重,前往清华大学附属垂杨柳医院急诊就诊,头颅CT提示蛛网膜下腔出血。请神经外科会诊并进行了科内专家组讨论,结合头颈动脉CTA检查,认为李女士为颅内动脉瘤破裂伴蛛网膜下腔出血。
由于患者高龄,脑动脉粥样硬化严重,手术难度高、风险大,易出现脑血管痉挛、脑梗死等严重并发症。神经外科团队与家属充分沟通后,决定施行微创血管内介入治疗,以防止动脉瘤再次破裂危及生命。
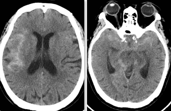
▲头颅CT显示蛛网膜下腔出血,右侧偏多
手术当日,在导管室、麻醉科的协作下,神经外科副主任医师刘磊带领介入团队在全麻下为患者实施脑动脉造影+右侧后交通动脉瘤弹簧圈栓塞术。造影显示患者为双侧颈内动脉多发动脉瘤,结合出血位置与动脉瘤形态,团队精准判断右侧后交通动脉瘤为破裂责任病灶。该动脉瘤形态不规则,且瘤颈发出胚胎型大脑后动脉,手术需在完全栓塞动脉瘤的同时确保分支血管通畅。团队克服动脉迂曲与硬化等困难,经过两小时精细操作,成功实现动脉瘤近致密栓塞,载瘤动脉及分支血流通畅。
▲神经外科脑血管病介入团队手术中
从右至左:刘磊,王绍珍,段练
▲右颈内动脉3D-DSA显示两个动脉瘤
后交通动脉瘤不规则
瘤颈处发出胚胎型大脑后动脉
瘤顶端可见子瘤(红箭头)
▲左颈内动脉3D-DSA显示两个动脉瘤(蓝箭头)
▲术后即刻造影见动脉瘤近致密栓塞
载瘤动脉及胚胎型大脑后动脉通畅
术后患者经防治脑血管痉挛、止痛、补液等治疗,恢复顺利,住院两周后出院,无新发神经功能障碍。家属特赠锦旗表达感谢。
神经外科介绍,此病例是神经外科脑血管病介入团队目前手术治疗的最年长脑动脉瘤患者。此例患者的成功救治,为医院神经外科在治疗高龄复杂脑动脉瘤诊疗方面积累了重要经验。
神经外科 | 科普小课堂
蛛网膜下腔出血&颅内动脉瘤破裂:
蛛网膜下腔出血是一种严重的出血性脑血管疾病,典型临床表现为突发的剧烈头痛,颈痛,伴恶心呕吐,甚至昏迷。颅内动脉瘤破裂是导致自发性蛛网膜下腔出血最常见的原因,约占85%。颅内动脉瘤常位于血管分叉处,它并非实体肿瘤,而是脑动脉壁薄弱处的异常凸起,类似于自行车内胎磨损后的“鼓包”,一旦破裂,后果不堪设想,被称为“颅内的不定时炸弹”。动脉瘤首次破裂出血死亡率可达30%,二次破裂出血是蛛网膜下腔出血患者面临的最危险并发症,致死率和致残率极高,尤其是对于Hunt-Hess分级高的高龄患者,极易合并脑血管痉挛、脑梗死、心肺功能衰竭而死亡。
颅内动脉瘤的治疗方法:
颅内动脉瘤的治疗方法主要有开颅夹闭术和血管内介入治疗。血管内介入治疗具有微创治疗、术后反应较轻、恢复较快的特点。适用于高龄、基础疾病多的患者。
注:以上治疗方法仅限医疗学术交流,不作为具体病例诊断依据和治疗方案。如有不适请及时就医。
本文仅限于公益科普及学术交流,如有不适请及时就医。文中自测内容不作为医学诊断依据。文中部分图片及资料来源于网络,侵删。








京公网安备11010502033717号